كتب : سيد متولي 09:30 م 05/01/2026 السكر أحد أكثر المكونات التي تتسلل إلى وجباتنا…
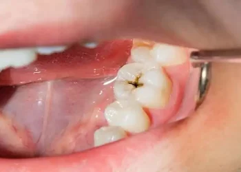
تسوس الأسنان
كتب : سيد متولي 09:30 م 05/01/2026 السكر أحد أكثر المكونات التي تتسلل إلى وجباتنا…
كتب : سيد متولي 02:30 م 21/12/2025 يتخوف كثير من الأشخاص من ألم زراعة الأسنان…
كتب : نرمين ضيف الله 07:00 ص 25/10/2025 …
كتب : نرمين ضيف الله 05:00 ص 25/10/2025 …
كشف خبراء صحة الفم والأسنان عن تزايد الأضرار المرتبطة باستخدام السجائر الإلكترونية، التي أصبحت ظاهرة…
02:43 ص الخميس 10 يوليه 2025 كتبت- شيماء مرسي: تسوس…
أشارت طبيبة الأسنان الروسية فيكتوريا رادكو إلى أن الحفاظ على صحة الأسنان وجمالها يتطلب أكثر…
05:31 ص السبت 30 نوفمبر 2024 أوضح الدكتور مياسنيكوف، أن…
07:00 ص الخميس 14 نوفمبر 2024 كتب- عمر صبري: تسوس…